05-29
05-28
05-24
05-23
05-21
05-19
05-18
05-17
05-17
05-17
口腔不良习惯导致的错畸形
河南讯:(李全胜 田金晟)报道 习惯,是指在一定间隔时间内有意识或无意识地反复作一相同的动作,并持续下去。口腔不良习惯是发生于口腔环境的有害的异常习惯行为。正常的口颌系统处于一个力量平衡的环境中,对于发育期的青少年而言,由于口颌系统在生长发育过程中受到异常的压力,破坏了正常的肌力和力平衡、协调,使可塑性较强的牙、牙槽骨及颌骨发育异常。口腔不良习惯持续的时间越长,错发生的可能性及严重程度越大。有研究表明口腔不良习惯占错畸形病因的16.1%
常见的口腔不良习惯:
1.吮指不良习惯,儿童吮指不良习惯最多见的是吮拇指。吮拇指习惯在2~3岁时发生是正常的,常在4~5岁时停止,若继续吮拇指习惯,则可能出现前牙开、牙弓狭窄等。吮示指则由于手指的放置将下颌引导向前而使下颌过度前伸,形成反,有些儿童还可形成局部小开。(图1)
图1吮指习惯造成的局部开牙合(来源于网络)
2.咬唇不良习惯:儿童咬下唇时,下唇肌紧张,推上切牙唇向,压下切牙舌向,出现开唇露齿,而造成上切牙唇向倾斜及下前牙舌倾,或前牙出现无接触或深覆,长期咬下唇者,可出现下唇周围皮肤角化。咬上唇时,则导致下颌受到向前的力量,上颌牙齿受到向内的压力,出现下颌前突,下前牙唇倾,上颌前牙舌倾,前牙反等表现。

图2咬唇习惯造成的深覆
3.不良舌习惯:儿童在替牙过程中吐舌或舔萌出新牙常形成吐舌。吐舌不良习惯可造成前牙开;因舌体中间厚,两侧薄,故开牙合常为梭形。吐舌不良习惯时常有下颌前伸动作,故有时可出现前牙反下颌前突。吐舌不良习惯也可继发于前牙开(图3)或后牙反。有婴儿期的吞咽习惯延伸至乳牙萌出以后叫异常吞咽,所造成表现也和吐舌习惯的表现一样。

图3伸舌习惯造成的前牙反及开
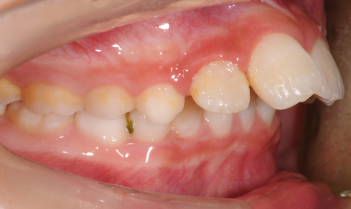
4.口呼吸习惯:口呼吸习惯形成的主要原因主要由于慢性鼻炎、鼻窦炎、鼻甲肥大、腭扁桃体或咽扁桃体肥大等鼻咽部疾病,使鼻呼吸道阻塞而长期部分或全部用口呼吸。牙弓狭窄,腭盖高拱,牙列拥挤,上前牙前突,(图4) 上唇卷缩,开唇露齿,唇肌肥厚,鼻根下陷,鼻翼萎缩,鼻唇沟变浅,下颌后缩畸形等,除此之外还会有一些精神萎靡、注意力不集中等全身表现。。

图4,口呼吸造成的牙列拥挤,牙弓狭窄
5.偏侧咀嚼:一种异常的咀嚼习惯, 多由一侧后牙功能障碍或疾病、关节功能性疾患以及神经肌肉活动异常所诱发, 亦有单纯习惯行为所引起, 另外, 其他一些口腔疾患(如龋坏、残根等)也有可能引发偏侧咀嚼。表现为下颌骨偏向咀嚼侧,下颌中线也偏向咀嚼侧;咀嚼侧关系趋向远中关系,牙颌结构发育好,具有良好的自洁作用,废用侧趋向近中关系牙颌结构发育好差,自洁作用差。长期的偏侧咀嚼可造成颜面部结构的骨性不对称(图5)。

图5.偏侧咀嚼导致的面部偏斜
对于口腔不良习惯,在幼儿3岁以后尽早破除,以阻止错畸形向严重的方向发展。